Latest Updates
-
మండుతున్న ఎండలకు చెక్..సమ్మర్ లో మిమ్మల్ని చల్లగా ఉంచే అద్భుతమైన బూందీ రైతా..ఎలా చేసుకోవాలంటే.. -
ఇడ్లీ, దోసల్లోకి అదిరిపోయే కాంబినేషన్..పుల్లపుల్లని, కారంకారమైన జామకాయ చట్నీ..ఎలా చేసుకోవాలంటే.. -
ఎండలో ఉంటున్నా.. ట్యాబ్లెట్లు వాడుతున్నా విటమిన్-D పెరగట్లేదా? అసలు కారణం ఇదే! -
అమ్మమ్మల నాటి అమృతం.. వేసవిలో ఒంటికి చలువ చేసే తరవాని చారు -
కొంతమంది ప్రతిసారీ రాంగ్ పర్సన్ కే ఎందుకు ఎట్రాక్ట్ అవుతుంటారో తెలుసా? -
పైన మీగడ, లోపల కమ్మటి రుచి.. ఇంట్లోనే పక్కా ధాబా స్టైల్ మలై లస్సీ..ఎలా చేసుకోవాలంటే -
అచ్చం బేకరీ రుచితో కొబ్బరి బర్ఫీ.. తక్కువ సమయం, అదిరిపోయే టేస్ట్! -
కరివేపాకుతో ఈ 5 ఆహారాలు కలిపి తింటే.. మీ ఎముకలు ఉక్కులా మారుతాయి! -
వేడివేడి అన్నం, కాస్త నెయ్యి, గోంగూర కారం..ఆహా ఏమి రుచి! -
ప్రెగ్నెన్సీ ప్లాన్ చేస్తున్నారా? ముందు మహిళలు సరిదిద్దుకోవాల్సిన అతిపెద్ద సమస్య ఇదే!
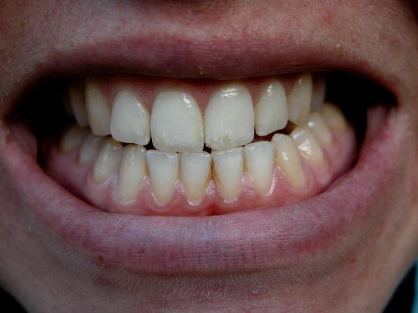
మీ దంతాల సున్నితత్వానికి 10 ప్రధాన కారణాలు
మీరు మీకు ఇష్టమైన ఐస్ క్రీమ్ తింటూనప్పుడు ఎల్లప్పుడూ నొప్పితో బాధ పడుతున్నారా? లేదా వేడిగా పదార్దాలను త్రాగినప్పుడు నొప్పి కలుగుతుందా ?
మీ సమాధానం అవును అయితే, మీరు పంటి సున్నితత్వంతో బాధపడుతున్నారని చెప్పవచ్చు. దీనిని అనుభవించిన వారు ఎవరైనా వాడిగా,కోరికే అనుభూతితో ఉంటే పంటి సున్నితత్వం అని అర్ధం. ఈ మాట చాలా తేలికపాటిగా ఉన్న సరే ఈ పరిస్థితి చాలా ప్రమాదకరం అని చెప్పవచ్చు.
READ MORE: దంతాలు తెల్లగా మిళమిళ మెరవాలంటే 20 చిట్కాలు
పంటి సున్నితత్వం అనేది ప్రపంచవ్యాప్తంగా దాదాపు 70% మంది ప్రజలను ప్రభావితం చేసే ఒక సాధారణ దంత సమస్య.ఈ పరిస్థితి ఉన్నప్పుడు చాలా వేడిగా లేదా చల్లగా ఆహారాలు మరియు చాలా తీపి లేదా పుల్లని ఆహారాలను తీసుకున్నప్పుడు పళ్ళ మీద ఆకస్మిక నొప్పి కలుగుతుంది. తీవ్రమైన సందర్భాల్లో, ఒక సిప్ చల్లని నీరు కూడా అదే స్పందనను కలిగించవచ్చు.
READ MORE: పసుపు రంగు దంతాలు తెల్లగా మార్చే సింపుల్ టిప్స్ అండ్ ట్రిక్స్
దంతాల సున్నితత్వానికి 10 ప్రధాన కారణాలు
ఈ పరిస్థితి గురించి తెలిపే ప్రాథమిక ఆధార కారణం గట్టిదనంను దూరంగా ఉంచటం. అలాగే పళ్లపై ఎనామెల్ యొక్క పొర తొలగటం వలన అంతర్లీన మృదువైన భాగాలు బహిర్గతం అవుతాయి. దీనిలోదంతాల యొక్క జ్ఞాన నాడులు ఉంటాయి. ఈ ప్రాంతం బహిర్గతం కాగానే, ఈ పరిస్థితితో బాధపడుతున్న ప్రజలు వేడి మరియు చల్లని, తీపి మరియు పుల్లని పదార్దాలను తీసుకున్నప్పుడు ఆకస్మికంగా, కుదుపుల ప్రతిచర్యకు గురి అవుతారు.
ఆ ప్రాంతం యొక్క నాడులు బహిర్గతం కావటానికి కలిగించే 10 ప్రముఖ కారణాలు:

చిగుళ్ళు చలనం
చిగుళ్ళు చలనం అనేది సరిగా బ్రషింగ్ పద్ధతులను ఉపయోగించనప్పుడు,తీవ్రమైన లేదా ఉత్సాహభరితంగా బ్రషింగ్,వయస్సు మీరటం వంటి కారణాల వలన కలుగుతుంది. చిగుళ్ళు చలనం కలిగినప్పుడు దంత రూట్ వేడి మరియు చల్లని,తీపి మరియు పుల్లని నిష్పత్తి బాగా లేని సమయంలో ఇటువంటి భావాలకు దారితీస్తుంది.

చిగురువాపు:
గమ్ వ్యాధి లేదా చిగురు వాపు ఉన్న ప్రదేశంలో ఉన్న పళ్ళ చిగుళ్ళు బలహీనమవుతాయి. ఇది తీవ్రస్థాయికి చేరితే దంతాల ఆధారం చుట్టూ చిగుళ్ళు వాపుకు కారణమవుతుంది. అంతర్లీన రూట్ మరియు నరములు బహిర్గతం అవుతాయి. అధిక స్థాయిలో సున్నితత్వంనకు దారితీస్తుంది.

పంటి పగుళ్ళు
పంటి ఉపరితలంపై బాహ్య పగులు ఉంటే,నోటి లోపల బాక్టీరియా పంటి రూట్ మార్గాన్ని కనుగొని మరియు ఒక ఇన్ఫెక్షన్ కి కారణం అవుతుంది. చికిత్స చేయని ఎడల, అది తరువాత ప్రధాన తలనొప్పికి ఒక కారణంగా మారుతుంది. అంతేకాక పళ్ల లేదా దంతాలలో తీవ్రమైన సున్నితత్వంనకు కారణమవుతుంది.

అనారోగ్యకరమైన ఆహారపు అలవాట్లు
ఏమైనప్పటికీ మీ నోటిలోకి వెళ్ళిన ఏదైనా సరే ముందు మీ పళ్ళను ప్రభావితం చేస్తుంది. చాలా తీపి మరియు జిగటగా ఉండే ఆహారాలు (చాక్లెట్లు, క్యాండీలు,ఐస్ క్రీం వంటివి),ఆమ్ల సంబంధమైన ఆహారాలు( ఊరగాయలు, స్ట్రాబెర్రీస్ వంటివి), చాలా వేడిగా లేదా చాలా చల్లని ఆహారాలు,కోలా వంటి కార్బోనేటేడ్ పానీయాలు పంటి పైపూత ఎనామిల్ మీద ప్రభావం చూపుతాయి. అది కొంత కాలానికి దంతాల సున్నితత్వంనకు దారితీస్తుంది.

నిద్రలో పల్లు కొరుకుట
నిద్రలో ఉన్నప్పుడు అలవాటుగా లేదా అప్రయత్నపూర్వకంగా వారి దంతాలను కోరికే పరిస్థితిని బ్రుక్సిసమ్ (నిద్రలో పల్లు కొరుకుట) అని అంటారు. గట్టి ఎనామెల్ పొరను క్రమంగా కోల్పోతారు. అలాగే కొంత కాలానికి దంతాల సున్నితత్వంతో బాధ పడవచ్చు.

దంత చికిత్సలు
ప్లేక్ స్కేలింగ్,దంతాల ప్లేస్మెంట్,పంటి పునరుద్ధరణ వంటి దంత చికిత్సల వలన కొన్ని రోజులకు తీవ్రమైన సున్నితత్వంనకు దారి తీయవచ్చు. చాలా సందర్భాలలో, ఇటువంటి విధానంలో పంటి సున్నితత్వం అనేది వైద్యుని జోక్యం లేకుండానే కొన్ని రోజుల తర్వాత అదే తగ్గిపోతుంది.

చాలా హార్డ్ టూత్ పేస్టు మరియు టూత్ బ్రష్ వాడటం వలన
హార్డ్ బ్రష్ తో పళ్ళను తోమితే సాండ్ పేపర్ తో చెక్కను రుద్దిన విధంగా ఉంటుంది. దంతాల ఉపరితలం పల్చపడి ఎనామిల్ పోతుంది. తద్వారా పళ్ళు సున్నితత్వంనకు లోనవుతాయి.

మౌత్ వాష్ దీర్ఘకాలం ఉపయోగించడం
మార్కెట్ లో అందుబాటులో ఉండే చాలా మౌత్ వాష్ లు నిజంగా మీ శ్వాస తాజాదానానికి సహాయం చేయవు. కానీ వాటి ఆమ్ల సంబంధమైన కంటెంట్ కారణంగా దంతాల ఉపరితలంపై ఎనామెల్ ను కోతకు గురిచేస్తాయి. అవి బలహీనంగానూ మరియు దంతాల సున్నితత్వంనకు కూడా ఎక్కువ హాని కలిగిస్తాయి.

తెల్లబరిచే చికిత్సలు
మాకు దంతాలు మెరుస్తూ తెల్లగా ఉంటే చాలా ఇష్టం. మా పళ్ళు మిల్కీ తెలుపుతో ముత్యాల్లా మేరవటానికి ఖరీదైన తెల్లబరిచే చికిత్సల కోసం వెళ్ళతాం. ఆ స్మైల్ ప్రకాశవంతంగా ఉండటానికి సహాయంగా ఉండవచ్చు, అయితే, అవి ఎనామెల్ నష్టంనకు కారణం అవుతాయి. ఆ తర్వాత మీరు బాధపడవలసి ఉంటుంది. కావున మీరు తెల్లబరిచే చికిత్సల కోసం వెళ్ళినప్పుడు ఎనామిల్ నష్టం గురించి దంతవైద్యుడిని అడిగి తెలుసుకోవాలి.

అసాధారణ వైద్య పరిస్థితులు
కొన్ని సార్లు నోటిలో ఆమ్ల కంటెంట్ కారణంగా బులీమియా వంటి వైద్య పరిస్థితులు చాలా అధికం కావచ్చు. నోటిలో అధిక ఆమ్ల స్థాయి ఎనామెల్ ను హరించి వేసి పళ్ళను మరింత సున్నితముగా చేస్తుంది.



Click it and Unblock the Notifications











