Latest Updates
-
చికెన్, మటన్ రుచిని మైమరిపించే ఎగ్ టమాటో గ్రేవీ..ఇలా ఈజీగా చేసేయండి! -
ఇంట్లో ఎవరూ లేరని పిలిచింది, ఫారిన్ స్టైల్ అని బట్టలిప్పేసి దారుణం భయ్యా..వీడియో.. -
ఎండలు మండిపోతుంటే దంపతుల మధ్య గొడవలు ఎందుకు? వేసవిలో మీ బంధాన్ని కాపాడుకునే మార్గాలివే! -
సమాధుల మధ్య ప్రేమ..ఇదెక్కడి వింత ట్రెండ్ రా బాబూ! -
డేటింగ్ యాప్స్లో హనీట్రాప్ ఉచ్చు.. ఢిల్లీలో కొత్త వ్యక్తులను కలిసేటప్పుడు ఈ జాగ్రత్తలు తప్పనిసరి! -
వేడివేడి చికెన్ చెన్నా పులావ్,చల్లటి స్పెషల్ రైతా..ఈ కాంబో రుచికి ఫిదా అవ్వాల్సిందే! -
ఎండల నుంచి ఉపశమనం: ఇంట్లోనే తయారు చేసుకునే ORS, దేశీ చిట్కాలు ఇవే! -
దేవుడు అంతటా ఉన్నప్పుడు గుడికి ఎందుకు వెళ్లాలి? స్వామి వివేకానంద అద్భుత సమాధానం! -
అచ్చం రెస్టారెంట్ స్టైల్ క్రిస్పీ చికెన్ ఫ్రైస్.. ఈ స్పెషల్ సాస్ తో ట్రై చేస్తే టేస్ట్ వేరే లెవల్! -
ఎండల తీవ్రతతో అల్లాడుతున్నారా? చాణక్యుడి ఈ సూత్రాలు పాటిస్తే ఈ వేసవిలోనూ మీరు కూల్గా ఉండొచ్చు!
వెన్నునొప్పి నుండి ఉపశమనానికి, ముంజేతికి వీర్యాన్ని ఇంజెక్ట్ చేసుకున్న వ్యక్తి - ఇలాంటి వింత మానవులు కూడా ఉంటారా !
ఈ 33 ఏళ్ల ఐరిష్ మనిషి డబ్లిన్ ఆసుపత్రిలో వైద్యులను కలుసుకుని తన సమస్యను ఏకరువు పెట్టాడు. అతని వెన్ను దిగువ భాగంలో తీవ్రమైన నొప్పిని కలిగి ఉన్నట్లుగా ఫిర్యాదు చేశాడు. కానీ అతని ముంజేతి మీద వాపు, మరియు
వెన్నునొప్పి నుండి ఉపశమనానికి, ముంజేతికి వీర్యాన్ని ఇంజెక్ట్ చేసుకున్న వ్యక్తి - ఇలాంటి వింత మానవులు కూడా ఉంటారా !
అనేక అనారోగ్య సమస్యలకు, శాస్త్రపరమైన రుజువులు లేనప్పటికీ ఉపశమనం కోసం అనేక చిట్కాలను అనుసరిస్తుంటారు ప్రజలు. అటువంటి వాటిలో కొన్ని వాస్తవంగా పనిచేస్తున్నప్పటికీ, కొన్ని మాత్రం విన్న వాళ్ళను ఒకింత షాక్ లోనయ్యేలా చేస్తాయి. తన వెన్నునొప్పిని వదిలించుకోవడానికి తన ముంజేయిలో వీర్యాన్ని ప్రవేశపెడుతూ వస్తున్న ఒక వ్యక్తికి సంబంధించిన వింత కథనం ఇది. గత 18 నెలలుగా ఈ చర్యకు పాల్పడుతున్న ఈ వ్యక్తి యొక్క జిగుప్సాకర సంఘటనకు సంబంధించిన వివరాలను తెలుసుకోండి....
నివేదికల ప్రకారం, వెన్నునొప్పి చికిత్సకు అసహజమైన పద్ధతిగా ఐరిష్ మెడికల్ జర్నల్లో నమోదు చేయబడిన “ప్రపంచంలోనే మొట్టమొదటి విపరీతమైన వికారమైన చికిత్స” గా పేర్కొనబడింది.

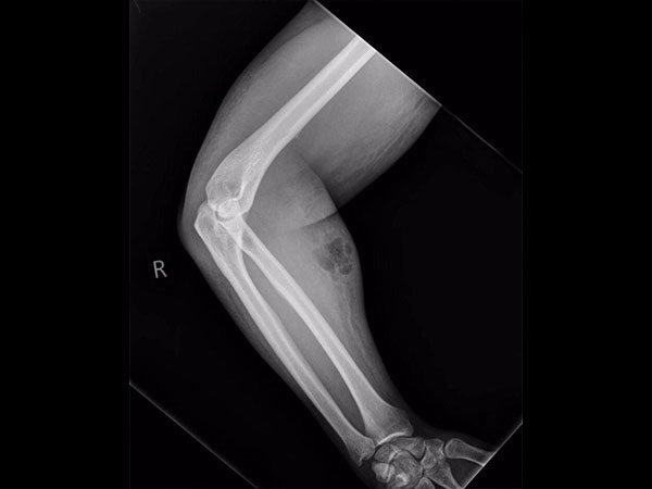
ఈ వ్యక్తి తీవ్రమైన నొప్పితో ఆసుపత్రికి చేరుకున్నాడు ..
ఈ 33 ఏళ్ల ఐరిష్ మనిషి డబ్లిన్ ఆసుపత్రిలో వైద్యులను కలుసుకుని తన సమస్యను ఏకరువు పెట్టాడు. అతని వెన్ను దిగువ భాగంలో తీవ్రమైన నొప్పిని కలిగి ఉన్నట్లుగా ఫిర్యాదు చేశాడు. కానీ అతని ముంజేతి మీద వాపు, మరియు ఎరుపు దద్దుర్లు ఉన్నాయని గమనించిన వైద్యులు, ఆ దిశగా దర్యాప్తు ప్రారంభించారు.

ఈ వింత ట్రిక్ తో తనకుతాను వెన్నునొప్పి నుండి ఉపశమనం పొందేందుకు ప్రయత్నించాడు..
చాలా కాలంగా బాధిస్తున్న తన వెన్నునొప్పి నుండి ఉపశమనం పొందేందుకు చేసే ప్రయత్నాలలో భాగంగా,. అతను ఈ చర్యకు పాల్పడ్డాడు. క్రమంగా తనకుతాను తన వీర్యాన్ని ఇంజెక్ట్ చేసుకోవడం ప్రారంభించాడు. ఈ అసాధారణ వింత నివారణ తన సమస్యకు ఉపశమనం కలిగిస్తుందని అపోహపడ్డాడు . గత 18 నెలలుగా అతను తన ముంజేతికి ఈ చికిత్స చేసుకుంటూ, ఏ ఇతర కారణాల వలన ఆ నొప్పి కాస్త తగ్గుముఖం పట్టినా, తన వీర్యం వలెనే అన్న భావనకు వచ్చాడు.

కానీ దురదృష్టవశాత్తు, వైద్యులను చికిత్స చేయడానికి నిరాకరించాడు ...
వైద్యులు ఎక్స్ - రే తీసుకుని, అతని శరీరం నుండి వీర్యాన్ని తొలగించేలా చికిత్స చేయడానికి సిద్దపడినా, ఆ వ్యక్తి మాత్రం అందుకు ససేమిరా అంటూ చికిత్సకు నిరాకరిస్తున్నాడు. ప్రస్తుతం అతను వైద్యుల సంరక్షణలోనే ఉన్నాడు. నిజానికి ఇటువంటి వ్యక్తులకు కౌన్సెలింగ్ ఇచ్చాకనే, వైద్యానికి కూడా సిద్దపడవలసి ఉంటుంది.

ఇది ప్రపంచంలోనే మొట్టమొదటి వికారమైన చికిత్సగా చెప్పబడింది !
మనలో కూడా అనేక మంది, నాటు వైద్యాలు అంటూ వెళ్తూ, వైద్యులు సూచించిన మందులను సైతం ఖాతరు చేస్తూ ప్రాణాల మీదకు తెచ్చుకునే వారిని చూస్తూనే ఉంటాం. కానీ, ఇటువంటి వారికి కుటుంబ సభ్యులు, సన్నిహితులే సరైన కౌన్సెలింగ్ ఇవ్వవలసి ఉంటుంది. లేకుంటే, ప్రాణాలు పోయాక మాట్లాడుకుని ప్రయోజనం ఉండదు.
ఇది ప్రపంచంలోనే మొట్టమొదటి వికారమైన చికిత్సగా చెప్పబడింది !



Click it and Unblock the Notifications











