Latest Updates
-
మండుతున్న ఎండలకు చెక్..సమ్మర్ లో మిమ్మల్ని చల్లగా ఉంచే అద్భుతమైన బూందీ రైతా..ఎలా చేసుకోవాలంటే.. -
ఇడ్లీ, దోసల్లోకి అదిరిపోయే కాంబినేషన్..పుల్లపుల్లని, కారంకారమైన జామకాయ చట్నీ..ఎలా చేసుకోవాలంటే.. -
ఎండలో ఉంటున్నా.. ట్యాబ్లెట్లు వాడుతున్నా విటమిన్-D పెరగట్లేదా? అసలు కారణం ఇదే! -
అమ్మమ్మల నాటి అమృతం.. వేసవిలో ఒంటికి చలువ చేసే తరవాని చారు -
కొంతమంది ప్రతిసారీ రాంగ్ పర్సన్ కే ఎందుకు ఎట్రాక్ట్ అవుతుంటారో తెలుసా? -
పైన మీగడ, లోపల కమ్మటి రుచి.. ఇంట్లోనే పక్కా ధాబా స్టైల్ మలై లస్సీ..ఎలా చేసుకోవాలంటే -
అచ్చం బేకరీ రుచితో కొబ్బరి బర్ఫీ.. తక్కువ సమయం, అదిరిపోయే టేస్ట్! -
కరివేపాకుతో ఈ 5 ఆహారాలు కలిపి తింటే.. మీ ఎముకలు ఉక్కులా మారుతాయి! -
వేడివేడి అన్నం, కాస్త నెయ్యి, గోంగూర కారం..ఆహా ఏమి రుచి! -
ప్రెగ్నెన్సీ ప్లాన్ చేస్తున్నారా? ముందు మహిళలు సరిదిద్దుకోవాల్సిన అతిపెద్ద సమస్య ఇదే!
కొత్తగా వ్యాపిస్తున్న వైట్ లంగ్ సిండ్రోమ్... లక్షణాలు ఏంటో తెలుసా? అప్రమత్తంగా ఉండండి
White Lung Syndrome: అమెరికాలోని ఒహియోలో ఇటీవలి నెలల్లో దాదాపు 150 న్యుమోనియా కేసులు నమోదయ్యాయి.ప్రపంచ ఆరోగ్య సంస్థ నివేదిక ప్రకారం, ఈ కేసులు కేవలం పిల్లలలో మాత్రమే నివేదించబడ్డాయి మరియు రోగుల సగటు వయస్సు 8 సంవత్సరాలు, ఇది చాలా ప్రమాదకరమైనది.
ఆగస్టు నుంచి ఇప్పటి వరకు 142 కేసులు నమోదవగా, ఈ అంశం ఇప్పుడు ప్రపంచ వ్యాప్తంగా భయాందోళనలకు గురి చేసింది. కోవిడ్ మహమ్మారి వంటి మరో విపత్తు భయం ప్రపంచవ్యాప్తంగా వ్యాపించింది.

వైట్ లంగ్ సిండ్రోమ్ అంటే ఏమిటి?
ఈ రహస్య వ్యాధిని "వైట్ లంగ్ సిండ్రోమ్" అని పిలుస్తారు మరియు చైనా ప్రభుత్వం అనేక వ్యాధుల కలయికగా ప్రకటించింది. ఈ వ్యాధులలో ఇన్ఫ్లుఎంజా, SARS-CoV-2 (Covid-19), RSV మరియు మైకోప్లాస్మా న్యుమోనియా ఉన్నాయి.
చైనాలో ఏం జరిగింది?
చైనాలోని బీజింగ్లో ఇలాంటి పరిస్థితి నెలకొనడంతో అమెరికాలోని ఒహియోలో న్యుమోనియా కేసులు పెరిగాయి. మునుపటి నివేదికల ప్రకారం, బీజింగ్లోని పిల్లల ఆసుపత్రిలో 7,000 మంది పిల్లలు చేరారు.
ఆకస్మిక ఆరోగ్య సంక్షోభం ప్రపంచ ఆరోగ్య సంస్థ (WHO) జోక్యాన్ని ప్రేరేపించింది, ఇది పిల్లల ఆసుపత్రులలో శ్వాసకోశ వ్యాధి కేసులపై చైనా ప్రభుత్వం నుండి మరింత సమాచారాన్ని అభ్యర్థించింది.

ఇది కోవిడ్ లాంటి కొత్త వ్యాధినా?
న్యుమోనియా కేసుల పెరుదల కొత్త వ్యాధికారక కారణంగా కొత్త వ్యాధిగా కనిపించడం లేదని గమనించడం ముఖ్యం. నివేదికల ప్రకారం, గత కొన్ని సంవత్సరాలుగా US అంతటా అమలులో ఉన్న కోవిడ్-19 పరిమితులను సడలించడం వలన US ముందుగా ఉన్న అంటువ్యాధుల పెరుగుదలను చూస్తోంది.
తెల్ల ఊపిరితిత్తుల సిండ్రోమ్ ఎలా ఉంటుంది?
చైనాలో ఒక రహస్యమైన న్యుమోనియా వ్యాప్తి అనేక భారతీయ రాష్ట్రాల్లో ప్రమాద ఘంటికలు మోగించింది, ఆరోగ్య సంస్థలు దేనికైనా సిద్ధంగా ఉండాలని రాష్ట్ర ప్రభుత్వాలను హెచ్చరిస్తున్నాయి. ఇటీవలి నివేదికల ప్రకారం, వైట్ లంగ్ సిండ్రోమ్ ప్రపంచవ్యాప్తంగా విస్తరిస్తోంది.
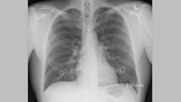
"వైట్ ఊపిరితిత్తుల సిండ్రోమ్" అనేది ఛాతీ X-కిరణాలపై తెల్లటి పాచెస్ కనిపించడం ద్వారా న్యుమోనియా యొక్క తీవ్రమైన రూపాన్ని వివరించడానికి ఉపయోగిస్తారు. ఈ పదం ఒక నిర్దిష్ట వ్యాధిని సూచిస్తున్నప్పటికీ, ఇది వాస్తవానికి అనేక వ్యాధుల లక్షణాలను కలిగిస్తుందని గమనించాలి.

లక్షణాలు
తెల్ల ఊపిరితిత్తుల సిండ్రోమ్ యొక్క నిర్దిష్ట లక్షణాలు అంతర్లీన కారణాన్ని బట్టి మారుతూ ఉంటాయి, అయితే కొన్ని సాధారణ లక్షణాలు ఉన్నాయి;
దగ్గు: ఇది సాధారణంగా పొడి, హ్యాకింగ్ దగ్గు, ఇది చాలా నిరంతరంగా ఉంటుంది.
జ్వరం: ఇది తేలికపాటి నుండి ఎక్కువ వరకు ఉంటుంది.
శ్వాస తీసుకోవడంలో ఇబ్బంది: ఇది తీవ్రంగా ఉంటుంది మరియు ఈ సమస్య వచ్చినట్లయితే మీరు వెంటనే వైద్యుడిని సంప్రదించాలి.
ఛాతీ నొప్పి: ఇది పదునైన లేదా నిస్తేజంగా ఉండవచ్చు మరియు శ్వాస తీసుకోవడంతో తీవ్రమవుతుంది.
అలసట: ఇది తీవ్రమైనది మరియు రోజువారీ కార్యకలాపాలను నిర్వహించడం కష్టతరం చేస్తుంది.
చికిత్స
తెల్ల ఊపిరితిత్తుల సిండ్రోమ్ చికిత్స దాని అంతర్లీన కారణంపై ఆధారపడి ఉంటుంది. కొన్ని సందర్భాల్లో, యాంటీ బాక్టీరియల్ లేదా యాంటీవైరల్ మందులు సూచించబడతాయి. మరింత తీవ్రమైన సందర్భాల్లో, ఆక్సిజన్ థెరపీ లేదా కృత్రిమ శ్వాసక్రియ అవసరం కావచ్చు. ఈ చిట్కాలను అనుసరించడం ద్వారా, మీరు వైట్ లంగ్ సిండ్రోమ్ మరియు ఇతర శ్వాసకోశ వ్యాధుల నుండి మిమ్మల్ని మీరు రక్షించుకోవచ్చు.
Disclaimer: ఈ ఆర్టికల్ లో అందించిన సమాచారం సాధారణ సమాచారం,విద్యా ప్రయోజనాల కోసం మాత్రమే. ఇది వృత్తిపరమైన వైద్య సలహా, రోగ నిర్ధారణ లేదా ట్రీట్మెంట్ కు ప్రత్యామ్నాయంగా ఉద్దేశించబడలేదు. వైద్య పరిస్థితికి సంబంధించి మీకు ఏవైనా ప్రశ్నలు ఉంటే మీ డాక్టర్ లేదా సంబంధిత నిపుణుల సలహా తీసుకోండి.



Click it and Unblock the Notifications











