Latest Updates
-
ఢిల్లీ ఫేమస్ చికెన్ చంగేజీ..నాన్, బటర్ రోటీ, చపాతీ, బగారా రైస్, అన్నంలోకి పర్ఫెక్ట్ కాంబినేషన్! -
అమ్మమ్మల నాటి పచ్చి టమాటా రోటి పచ్చడి..చికెన్, మటన్ కూడా దేనికీ పనికిరావు! -
నోరూరించే దహీ ఇడ్లీ.. ఈ సమ్మర్ లో మీ ఫ్యామిలీకి బెస్ట్ బ్రేక్ ఫాస్ట్..ఎలా చేసుకోవాలంటే.. -
ఒక రోజులో ఎంత బీరు తాగితే సేఫ్? యువత కచ్చితంగా తెలుసుకోవాల్సిన చేదు నిజం! -
కేవలం 5 నిమిషాల్లో ఇంట్లోనే టేస్టీ ద్రాక్ష రసం..ఎలా తయారు చేసుకోవాలంటే.. -
వేసవిలో చలవ చేసే బార్లీ లడ్డూ.. పాకం పట్టే పనే లేకుండా ఇలా ఈజీగా చేసేయండి! -
వృద్ధాప్యంలో శృంగారం.. ఈ 5 విషయాలు పాటిస్తే మీ బంధం మరింత మధురం! -
పాలు లేకుండానే కమ్మటి వెన్న.. ఇంట్లోనే ఈజీగా తయారు చేసుకోండిలా..100% ప్యూర్, 0% కొలెస్ట్రాల్! -
చపాతీ, పరోటాలోకి శరవణ భవన్ వైట్ కుర్మా.. ఒక్కసారి తిన్నారంటే టేస్ట్ దద్దరిల్లిపోవాల్సిందే! -
గ్యాస్ కష్టాలకు చెక్: పొయ్యి వెలిగించకుండానే వేడి వేడి ఇడ్లీ, టేస్టీ చట్నీ..ఎలా చేసుకోవాలంటే..
మీరు వెంటనే దంతవైద్యుడిని సందర్శించాల్సిన కొన్ని సంకేతాలు!
మీరు వెంటనే దంతవైద్యుడిని సందర్శించాల్సిన కొన్ని సంకేతాలు!
నోరు మంచిదైతే ఊరి మంచిది అంటారు. అలాగే నోరు మంచిగా ఉంటే మొత్తం శరీరం ఆరోగ్యంగా ఉంటుంది. నోటి ఆరోగ్యం ఎవరికైనా చాలా ముఖ్యం. నోరు ఆరోగ్యంగా ఉంటే, అనేక సూక్ష్మక్రిములు శరీరంపై దాడి చేస్తాయి. నోరు ఆరోగ్యంగా ఉండటానికి, మీరు ప్రతి ఆరునెలలకు ఒకసారి దంతవైద్యుడిని సందర్శించాలి. కొన్నిసార్లు సంవత్సరానికి రెండుసార్లు దంతవైద్యుడిని సంప్రదించడం, రోజూ పళ్ళు తోముకోవడం మరియు రోజుకు రెండుసార్లు పళ్ళు తోముకోవడం సరిపోదు.

ఒక్కొక్కరిలో నోటి సమస్యలు త్వరగా వస్తాయి. ఆహారాలు దీనికి కారణం. కాబట్టి, మీరు తినే దాని గురించి జాగ్రత్తగా ఉండటమే కాకుండా, మీకు నోటిలో కొన్ని సమస్యలు ఉంటే, మీరు వెంటనే దంతవైద్యుడిని సందర్శించాల్సిన సంకేతం అని అందరూ తెలుసుకోవాలి. అవి ఈ వ్యాసంలోని సంకేతాలు మాత్రమే.

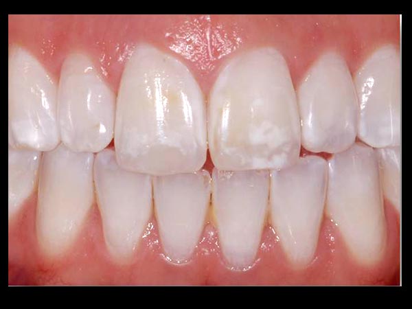
తెలుపు చుక్కలు
మీ దంతాలపై తెల్లని మచ్చలు ఉన్నాయా? నోటిలోని బ్యాక్టీరియా ఉత్పత్తి చేసే ఆమ్లాలు దంతాలు కొరుకుట మరియు దంతాలు లేనివిగా చేస్తాయి. దంతాలలో ఎనామెల్ తక్కువగా ఉన్నప్పుడు మాత్రమే తెల్లని మచ్చలు కనిపిస్తాయి. కొన్నిసార్లు రెండు తెల్లటి మచ్చలు రెండు దంతాల మధ్య కనిపిస్తాయి. కానీ అది మనకు తెలియదు. కాబట్టి మీ దంతాలపై కొంచెం తెల్లని మచ్చలు ఉంటే, వెంటనే దంతవైద్యుడిని సందర్శించండి.

పంటి నొప్పి
వేడి లేదా శీతల పానీయాలు తాగేటప్పుడు, దంతాలలో దురద మరియు నొప్పి మీరు వెంటనే దంతవైద్యుడిని సందర్శించాల్సిన ముఖ్యమైన సంకేతం. ఈ లక్షణాలు ప్రారంభంలోనే గుర్తించబడకపోతే, అప్పుడు దంత నొప్పి మరింత తీవ్రమవుతుంది మరియు చిగుళ్ళు వాపు అవుతాయి.

దంతాల రూపంలో మార్పు
దంతాలు పసుపుపచ్చ, ఎరుపు లేదా మరేదైనా రంగు లేదా రూపంలో కనిపిస్తే, మీరు ఆలస్యం చేయకుండా వైద్యుడిని సంప్రదించాలి. ఇది సాధారణమైతే పర్వాలేదు, కానీ అనారోగ్య లక్షణం అయితే ఇది పెద్ద సమస్యను కలిగిస్తుంది మరియు తరువాత మిమ్మల్ని రూట్ కెనాల్ వరకు తీసుకెళుతుంది. కాబట్టి ముందు జాగ్రత్తగా ఉండండి.

చిగుళ్ళలో రక్తస్రావం
మీ చిగుళ్ళు పళ్ళు తోముకునేటప్పుడు రక్తస్రావం అవుతుందా? అలా అయితే, మీ దంతవైద్యుడిని సందర్శించే సమయం ఇది. మీరు వెంటనే దంతవైద్యుడిని సందర్శిస్తే, మీరు చిగుళ్ళ వ్యాధిని నివారించవచ్చు మరియు తీవ్రమైన నొప్పి మరియు మంటను నివారించవచ్చు.

దవడ నొప్పి
ఎవరికైనా దవడ నొప్పి ఉంటే, అది తీవ్రమైన దంత నొప్పికి సంకేతం. దవడ నొప్పికి సైనస్ సమస్యలు మరియు దంతాలు కొరకడం ఇతర కారణాలు. కాబట్టి మీకు దవడలో ఒక రోజు కన్నా ఎక్కువ నొప్పి ఉంటే, వెంటనే మీ వైద్యుడిని సంప్రదించండి.

చల్లని మరియు వేడి పానీయాలకు సున్నితమైనది
దంతా, చిగుళ్ళు సున్నితంగా ఉంటే వేడి మరియు శీతల పానీయాలు చికాకు కలిగిస్తాయి. దంతాలు మొదటి స్థానంలో ఉన్నప్పుడు, దంతాల పై భాగం ప్రభావితమవుతుంది. అప్పుడు దంతాల మధ్య భాగం ప్రభావితమవుతుంది. ఈ ప్రభావం దంతాల మూల మరియు రక్త నాళాలకు చేరుకున్నప్పుడల్లా, వేడి మరియు శీతల పానీయాలు త్రాగేటప్పుడు మీరు నొప్పిని అనుభవించవచ్చు.

నోటి పూతల క్యాన్సర్ పుండ్లు
అన్ని నోటి పూతల క్యాన్సర్ పుండ్లు మరియు జలుబు పుండ్లు కాదు. నోటి పూతల రెండు రోజుల్లో నయం చేయకపోతే, ఇది వైరస్, ఫంగస్ లేదా ఇతర సంక్రమణకు సంకేతం. మీ బుగ్గలు, చిగుళ్ళు లేదా నాలుకలో పుండ్లు కూడా కండ్లకలక కావచ్చు.

నోటి వాసన
ఏదైనా తిన్న తర్వాత లేదా తాగిన తర్వాత ఏదైనా వాసన వస్తే భయపడవద్దు. మీ నోటి వాసన చాలా నెలలు ఉంటే, అది చిగుళ్ల వ్యాధి లేదా ఇతర తీవ్రమైన సమస్య కావచ్చు. ఈ సందర్భంలో వెంటనే వైద్యుడిని సంప్రదించడం అవసరం.



Click it and Unblock the Notifications











