Latest Updates
-
ఎండలో ఉంటున్నా.. ట్యాబ్లెట్లు వాడుతున్నా విటమిన్-D పెరగట్లేదా? అసలు కారణం ఇదే! -
అమ్మమ్మల నాటి అమృతం.. వేసవిలో ఒంటికి చలువ చేసే తరవాని చారు -
కొంతమంది ప్రతిసారీ రాంగ్ పర్సన్ కే ఎందుకు ఎట్రాక్ట్ అవుతుంటారో తెలుసా? -
పైన మీగడ, లోపల కమ్మటి రుచి.. ఇంట్లోనే పక్కా ధాబా స్టైల్ మలై లస్సీ..ఎలా చేసుకోవాలంటే -
అచ్చం బేకరీ రుచితో కొబ్బరి బర్ఫీ.. తక్కువ సమయం, అదిరిపోయే టేస్ట్! -
కరివేపాకుతో ఈ 5 ఆహారాలు కలిపి తింటే.. మీ ఎముకలు ఉక్కులా మారుతాయి! -
వేడివేడి అన్నం, కాస్త నెయ్యి, గోంగూర కారం..ఆహా ఏమి రుచి! -
ప్రెగ్నెన్సీ ప్లాన్ చేస్తున్నారా? ముందు మహిళలు సరిదిద్దుకోవాల్సిన అతిపెద్ద సమస్య ఇదే! -
స్పైసీ మటన్ లివర్ ఫ్రై..ఈ సీక్రెట్ మసాలాతో చేస్తే ప్లేట్ ఖాళీ చేస్తారు! -
కరలాడే టమాటా మురుకులు.. ఒక్కసారి రుచి చూస్తే అస్సలు వదిలిపెట్టరు!
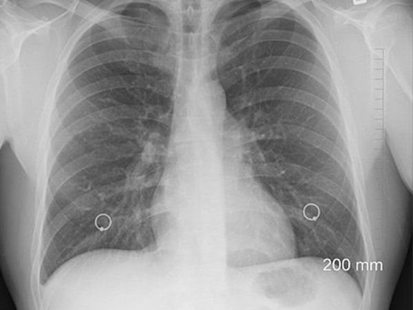
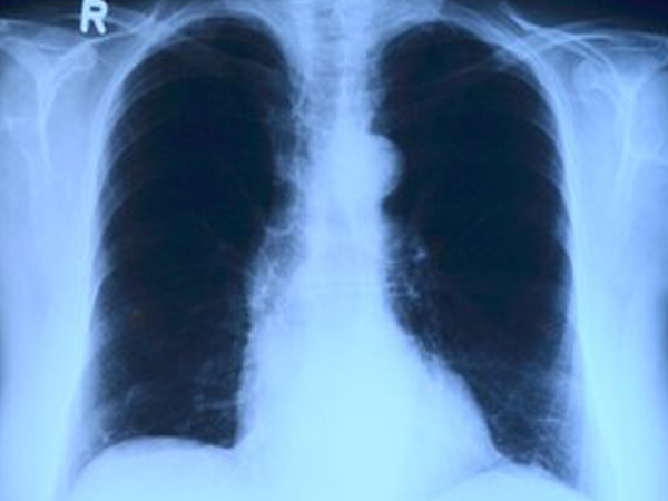
మీ ఊపిరి తిత్తులు ఆరోగ్యంగా ఉందో లేదో తెలుసుకోవడం ఎలా? ... ఇదిగో ...
మీ ఊపిరి తిత్తులు ఆరోగ్యంగా ఉందో లేదో తెలుసుకోవడం ఎలా? ... ఇదిగో ...
ఊపిరితిత్తులలో నీరు నిలుపుకోవడం వివిధ శారీరక రుగ్మతలకు సంకేతం. కొన్ని రకాల న్యుమోనియాకు ఇది సాధారణ లక్షణంగా కనిపిస్తుంది. కానీ ఈ నీటి స్తబ్దత ఊపిరితిత్తుల క్యాన్సర్ వల్ల కూడా సంభవించవచ్చు.
లేదా మెసోథెలియోమా కారణంగా చాలా అరుదుగా, మెసోథెలియోమా అని కూడా అంటారు. కాబట్టి ఊపిరితిత్తులలో నీరు నిలుపుకునే సంకేతాలు ఏవైనా ఉంటే, వెంటనే వైద్య సలహా తీసుకోవడం మంచిది.

శ్వాస ఎక్కువగా లేదా తక్కువగా భయపెడుతుంది
ఊపిరి పీల్చుకున్నప్పుడు మందంగా లేదా భయపెట్టే శబ్దం ఛాతీ లోతుల నుండి వినిపిస్తుంది, ఇది ఊపిరితిత్తులలో నీరు ఉన్నట్లు నిర్ధారిస్తుంది. ఈ పరిస్థితి కొన్నిసార్లు బ్రోన్కైటిస్ వల్ల సంభవించవచ్చు. ఈ దుర్బలత్వానికి కారణాన్ని వైద్య పరీక్షలో గుర్తించవచ్చు.

నిరంతరం దగ్గు ఉంటే గమనించండి
చిన్న అలర్జీలు లేదా నిరంతర దగ్గును నిర్లక్ష్యం చేయడం మంచిది కాదు. నిరంతర దగ్గు, అది స్వయంగా వచ్చినప్పటికీ, దానిని విస్మరించకూడదు ఎందుకంటే ఇది ఊపిరితిత్తులలో నీరు నిలుపుకోవటానికి సంకేతం కావచ్చు. ఇది పూర్తి రోగ నిర్ధారణతో వ్యవహరించాల్సిన అవసరం ఉంది, ఎందుకంటే ఇది ఊపిరితిత్తుల క్యాన్సర్ యొక్క ప్రారంభ దశ లక్షణంగా చూడవచ్చు లేదా ఇతర తీవ్రమైన వ్యాధి కారణంగా కావచ్చు.

నిరంతరం దగ్గు ఉంటే గమనించండి
చిన్న అలర్జీలు లేదా నిరంతర దగ్గును నిర్లక్ష్యం చేయడం మంచిది కాదు. నిరంతర దగ్గు, అది స్వయంగా వచ్చినప్పటికీ, దానిని విస్మరించకూడదు ఎందుకంటే ఇది ఊపిరితిత్తులలో నీరు నిలుపుకోవటానికి సంకేతం కావచ్చు. ఇది పూర్తి రోగ నిర్ధారణతో వ్యవహరించాల్సిన అవసరం ఉంది, ఎందుకంటే ఇది ఊపిరితిత్తుల క్యాన్సర్ యొక్క ప్రారంభ దశ లక్షణంగా చూడవచ్చు లేదా ఇతర తీవ్రమైన వ్యాధి కారణంగా కావచ్చు.

జ్వరం, నొప్పి మరియు అలసట
ఊపిరితిత్తులలో ద్రవం పేరుకుపోతే, ఫ్లూ లాంటి జ్వరం రావచ్చు. ఊపిరితిత్తులలో నీరు ఏర్పడినప్పుడు, ఒక వ్యక్తికి వైరల్ న్యుమోనియా లేదా ఊపిరితిత్తులలో లేదా శ్వాసనాళంలో ఇన్ఫెక్షన్ ఏర్పడవచ్చు. మీకు 102F కంటే ఎక్కువ జ్వరం ఉంటే వెంటనే వైద్య సహాయం తీసుకోవడం చాలా ముఖ్యం.
శ్వాసలోపం ఉంటే గమనించండి

శ్వాసలోపం ఉంటే గమనించండి
కొంతమంది రోగులకు, ఊపిరితిత్తులలో నీటి నిలుపుదల యొక్క ప్రధాన లక్షణం శ్వాసలోపం కావచ్చు. ఊపిరితిత్తులలో నీటి స్తబ్దత గుండె వైఫల్యం, ఊపిరితిత్తుల క్యాన్సర్ లేదా వైరల్ మరియు బాక్టీరియల్ ఇన్ఫెక్షన్ల వల్ల సంభవించవచ్చు. తద్వారా ఊపిరాడకుండా చేస్తుంది.

గమనిక
ద్రవం ఎక్కడ పేరుకుపోయిందో చూడటానికి తరచుగా X- రే లేదా EKG తీసుకోబడుతుంది. ఇది అకాల ఊపిరితిత్తుల క్యాన్సర్ సంభావ్యతను తొలగిస్తుంది.
ఊపిరితిత్తులలో నీటి స్తబ్దత ఉన్నట్లయితే, ఎక్కువ విశ్రాంతి తీసుకోవడం అవసరం మరియు చల్లని గాలికి గురికాకూడదు. ఊపిరితిత్తులలో ద్రవం చేరడం వలన స్పష్టమైన ద్రవాలను తరచుగా తీసుకోవడం మంచిది. తరచుగా వైద్య సలహా తీసుకోండి.



Click it and Unblock the Notifications











