Latest Updates
-
మండుతున్న ఎండలకు చెక్..సమ్మర్ లో మిమ్మల్ని చల్లగా ఉంచే అద్భుతమైన బూందీ రైతా..ఎలా చేసుకోవాలంటే.. -
ఇడ్లీ, దోసల్లోకి అదిరిపోయే కాంబినేషన్..పుల్లపుల్లని, కారంకారమైన జామకాయ చట్నీ..ఎలా చేసుకోవాలంటే.. -
ఎండలో ఉంటున్నా.. ట్యాబ్లెట్లు వాడుతున్నా విటమిన్-D పెరగట్లేదా? అసలు కారణం ఇదే! -
అమ్మమ్మల నాటి అమృతం.. వేసవిలో ఒంటికి చలువ చేసే తరవాని చారు -
కొంతమంది ప్రతిసారీ రాంగ్ పర్సన్ కే ఎందుకు ఎట్రాక్ట్ అవుతుంటారో తెలుసా? -
పైన మీగడ, లోపల కమ్మటి రుచి.. ఇంట్లోనే పక్కా ధాబా స్టైల్ మలై లస్సీ..ఎలా చేసుకోవాలంటే -
అచ్చం బేకరీ రుచితో కొబ్బరి బర్ఫీ.. తక్కువ సమయం, అదిరిపోయే టేస్ట్! -
కరివేపాకుతో ఈ 5 ఆహారాలు కలిపి తింటే.. మీ ఎముకలు ఉక్కులా మారుతాయి! -
వేడివేడి అన్నం, కాస్త నెయ్యి, గోంగూర కారం..ఆహా ఏమి రుచి! -
ప్రెగ్నెన్సీ ప్లాన్ చేస్తున్నారా? ముందు మహిళలు సరిదిద్దుకోవాల్సిన అతిపెద్ద సమస్య ఇదే!
వైద్యుని కళ్ళముందే ఒక మహిళ ఎముకలు అదృశ్యం !
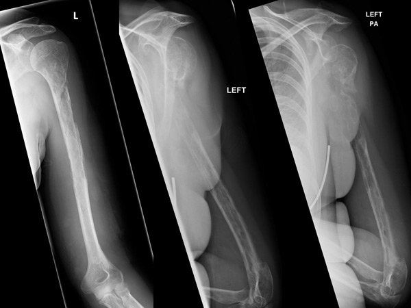
ఎముకలు అదృశ్యమవడం ఏంటి ? వినడానికే వింతగా ఉంది కదా. కానీ ఇక్కడ మేము చేప్పబోయే విషయం వినడానికే వళ్ళు గగుర్పొడిచేలా ఉంటుంది. ఒక మహిళ శరీరంలోని ఎముకలు నెమ్మదిగా అదృశ్యమవడం జరుగుతూ వైద్యులకే అంతు చిక్కని విధంగా తయారయింది.
ఎన్నడూ కానీ వినీ ఎరుగని రీతిలో, ఎక్స్- రే నివేదిక ద్వారా నెమ్మదిగా సమయానుసారం ఎముకలు అదృశ్యమవడం కనపడడంతో వైద్యులలో కలవరం మొదలైంది. దీనిని గుర్తించడానికే నెలల సమయం పట్టింది అంటే వైద్యుల కే అంతుచిక్కని సమస్య అని చెప్పకనే చెప్తుంది.
ఈ అంతు చిక్కని మిస్టరీ గురించిన వివరాలు ఒక్కసారి చూడండి.

ఇది నిజంగా మిస్టరీనే :
44 సంవత్సరాల వరకు ఎటువంటి సమస్యలు లేకుండా ఎంతో ఆరోగ్యంగా ఉన్న మహిళ, ఒక్కసారిగా ఎడమ భుజం లో నొప్పి అంటూ వైద్యుని సందర్శించింది. ఎక్స్- రే పరీక్షా సమయంలో వైద్య సిబ్బంది, చేతి పై భాగాన అసాధారణంగా పెరిగిన ఎముకల కారణంగా కణితి గా భావించి, దీనిని కాన్సర్ గా అపోహ పడ్డారు. కానీ బయాప్సీ నివేదికలో అది కాన్సర్ కాదని తేలింది. కొన్ని నెలల తర్వాత చేసిన మరో బయాప్సీలో నిరపాయమైన రక్త నాళపు కణితి ఉన్నట్లు అర్ధమైంది. ఆ కణితి ఎలాంటిదో కూడా అనేక పరీక్షలు చేశాక కానీ అర్ధం కాలేదు. కానీ, రక్త నాళాలు పెరగడం కాదు కానీ, ఎముకలు కనపడకుండా పోవడం వైద్యులను కూడా ఆశ్చర్యానికి గురిచేసింది.

రాను రాను నొప్పి పెరుగుతూ ఉంది :
ఆ మహిళ శరీరం లోని అనూహ్య మార్పుల కారణంగా, వాపు, నొప్పి నెలల వ్యవధిలో పెరుగుతూ వచ్చింది. క్రమంగా చిన్ని చిన్ని సమస్యలకే ఎముకలు విరగడం ప్రారంభమైంది. 18 నెలల వైద్యుల పర్యవేక్షణలో, ఎముకలు నెమ్మదిగా సమయానుసారం అదృశ్యమవుతున్నాయని తేల్చారు. తద్వారా అస్థి , మృదులాస్థి ఎముకలు రెండూ నెమ్మదిగా తగ్గుతూ రావడం గమనించారు . మరియు ఎముకలు పెరగాల్సిన ప్రదేశాలలో రక్తనాళాలు పెరగడం కనిపించింది.

వైద్యులు ఏం చెప్తున్నారంటే ...
ఈ పేరు తెలీని మహిళ అనుభవిస్తున్న ఈ వ్యాధిని గోరం- స్టౌట్ వ్యాధిగా గుర్తించారు. దీనికి ఎముకలు అదృశ్యమవడం అనే అర్ధం వస్తుంది. ఎక్కువగా ఎముకలలో పటుత్వం లేని వారిలో అత్యంత తక్కువ పరిస్థితుల్లోనే ఈ వ్యాధి వస్తుందని. ప్రపంచవ్యాప్తంగా ఈ వ్యాధి వేళ్ళ మీద లెక్కబెట్టే స్థాయిలోనే ఉందని చెప్తున్నారు. కాబట్టి ఇప్పట్లో అంతగా కంగారు పడనవసరం లేదని, కానీ ప్రయోగాలు మాత్రం జరుగుతూ ఉన్నాయని తెలిపారు.

ఈ పరిస్థితికి కారణమేమిటో .. !
ఈ వింతైన పరిస్థితికి కారణాలు మాత్రం ఇంకా తెలియ రాలేదు. పరీక్షలు మాత్రం జరుగుతున్నాయి. ప్రపంచ అరుదైన రుగ్మతల నివారణా సంస్థ నివేదిక ప్రకారం, జన్యు పరమైన లోపాల వలన లేదా పరిసరాల పెను మార్పుల ప్రభావాల వలన, ఆహార ప్రణాళికలలో అసాధారణ మార్పులు, జీవన శైలి, కాలుష్యం వంటి ప్రభావాల కారణంగా ఇలాంటి అరుదైన రోగాలు సంభవిస్తాయని తెలిపింది.

ఈ వ్యాధికి గురైన వారి పరిస్థితి ఎలా ఉంటుందంటే ...
ఈ సమస్య వలన శరీరం లోని లింఫటిక్ నాళాలు మరియు రక్తనాళాల పెరుగుదల అసాధారణ స్థాయికి వెళ్ళడం మూలాన , వైద్యం కూడా క్లిష్టతరం గానే ఉంటుంది. ఉదాహరణకు చెప్పిన ఈ మహిళ ఉదంతం ప్రకారం, 9 సంవత్సరాల వ్యవధిలో, 25 ఆపరేషన్లను ఎదుర్కోవాల్సి వచ్చింది.

మరి నివారణ ఉందా లేదా ?
నిజానికి ఈ రోగానికి ఖచ్చితమైన వైద్యం అంటూ ఏదీ లేదు. కొన్ని ప్రత్యేకమైన పరిస్థితుల్లో ఆపరేషన్ ద్వారా ప్రభావానికి గురైన ఎముకలకు, రక్త కణుతులకు రేడియేషన్ ప్రక్రియ ద్వారా వైద్యం చేస్తారు. తద్వారా అది వ్యాపించకుండా చేయగలుగుతారు. కానీ అన్నీ వేళలా ఈ ప్రక్రియ మంచి ఫలితాలను ఇవ్వలేదు. ఒక్కోసారి ఆపరేషన్ ఫెయిల్ అయి వ్యాపించే దిశగా కూడా ఉంటుంది.
ఈ వ్యాధి గురించి మీరేమనుకుంటున్నారు, క్రింది కామెంట్ సెక్షన్లో తెలుపండి.



Click it and Unblock the Notifications











