Latest Updates
-
మండుతున్న ఎండలకు చెక్..సమ్మర్ లో మిమ్మల్ని చల్లగా ఉంచే అద్భుతమైన బూందీ రైతా..ఎలా చేసుకోవాలంటే.. -
ఇడ్లీ, దోసల్లోకి అదిరిపోయే కాంబినేషన్..పుల్లపుల్లని, కారంకారమైన జామకాయ చట్నీ..ఎలా చేసుకోవాలంటే.. -
ఎండలో ఉంటున్నా.. ట్యాబ్లెట్లు వాడుతున్నా విటమిన్-D పెరగట్లేదా? అసలు కారణం ఇదే! -
అమ్మమ్మల నాటి అమృతం.. వేసవిలో ఒంటికి చలువ చేసే తరవాని చారు -
కొంతమంది ప్రతిసారీ రాంగ్ పర్సన్ కే ఎందుకు ఎట్రాక్ట్ అవుతుంటారో తెలుసా? -
పైన మీగడ, లోపల కమ్మటి రుచి.. ఇంట్లోనే పక్కా ధాబా స్టైల్ మలై లస్సీ..ఎలా చేసుకోవాలంటే -
అచ్చం బేకరీ రుచితో కొబ్బరి బర్ఫీ.. తక్కువ సమయం, అదిరిపోయే టేస్ట్! -
కరివేపాకుతో ఈ 5 ఆహారాలు కలిపి తింటే.. మీ ఎముకలు ఉక్కులా మారుతాయి! -
వేడివేడి అన్నం, కాస్త నెయ్యి, గోంగూర కారం..ఆహా ఏమి రుచి! -
ప్రెగ్నెన్సీ ప్లాన్ చేస్తున్నారా? ముందు మహిళలు సరిదిద్దుకోవాల్సిన అతిపెద్ద సమస్య ఇదే!
ఇటీవలే COVID-19 నుండి కోలుకున్నారా? అయితే మీరు ఈ టెస్టుల గురించి తెలుసుకోవాల్సిందే...!
మీరు ఇటీవలే కరోనా వైరస్ నుండి కోలుకున్నారా? అయితే ఈ పరీక్షలు, స్కాన్ల గురించి మీరు కచ్చితంగా తెలుసుకోవాల్సిందే.
ప్రపంచ వ్యాప్తంగా కరోనా వైరస్ కల్లోలం గురించి మనందరికీ తెలిసిందే. అయితే ప్రస్తుతం కరోనా కేసుల నుండి రికవరీ అవుతున్న వారి సంఖ్య కూడా బాగా పెరుగుతోంది. దీంతో ప్రతి ఒక్కరిలో ఆశలు చిగురిస్తున్నాయి. అయితే కరోనా వైరస్ నుండి కోలుకున్న వారు, కోవిద్-19 నెగిటివ్ వచ్చిన వారు, కరోనా టీకా వేసుకున్న వారు ఈ టెస్టుల గురించి తప్పక తెలుసుకోవాలని నిపుణులు సూచిస్తున్నారు.

ఇలా చేయడం వల్ల తమ ఆరోగ్యాన్ని మరింత పర్యవేక్షించొచ్చని, అదనపు ఆందోళనలు, ప్రమాదాలను నివారించొచ్చని చెబుతున్నారు. ఈ సందర్భంగా కరోనా రికవరీ రోగులు ఏ టెస్టులు చేయించుకోవాలో ఇప్పుడు తెలుసుకుందాం...


పోస్ట్-కోవిద్ టెస్టు ఎందుకు?
మన బాడీలో ఉండే రోగ నిరోధక వ్యవస్థ వైరస్ నుండి పోరాడటానికి ఉపయోగపడుతుంది. అయితే SARS, COV-2 వైరస్ వైరల్ లోడ్ క్షీణించిన తర్వాత చాలా కాలం పాటు దీర్ఘకాలిక దుష్ప్రభావాలు కలుగుతాయి.
లాంగ్ కోవిద్ కాకుండా, వైరస్ బాడీలోని అనేక ముఖ్యమైన భాగాలను ఎక్కువగా ప్రభావితం చేస్తుంది. ప్రత్యక్షంగా లేదా రోగనిరోధక ప్రతిస్పందనను తీవ్రంగా దెబ్బ తీస్తుంది. ఎందుకంటే మీ రక్తం మరియు రోగనిరోధక వ్యవస్థలో అనేక గుర్తులు ఉన్నాయని నిపుణులు చెబుతున్నారు. వైరస్ ద్వారా మీ బాడీ ఎంతవరకు ప్రభావితమవుతుందో తెలుస్తుంది.
ఉదాహరణకు మీరు తీవ్రమైన ఇన్ఫెక్షన్ తో బాధపడుతుంటే.. టెస్టులు మరియు స్కాన్లు అనేవి చాలా ముఖ్యమైనవి. వైరస్ ఊపిరితిత్తులతో సహా ముఖ్యమైన అవయవాలను లోతైన రీతిలో ప్రభావితం చేస్తుందని, మరిన్ని ఆధారాలతో పోస్ట్ - ఆప్ స్కాన్లు మరియు పరీక్షల ద్వారా మీరు ఎంత బాగా కోలుకున్నారో తెలుస్తుంది. కాబట్టి మీరు ఇటీవలే కరోనా నుండి కోలుకుంటే.. ఈ పరీక్షలు మరియు స్కాన్లు ఇప్పుడే చేయించండి.

యాంటీ బాడీ టెస్టులు..
కరోనా సంక్రమణతో పోరాడిన తర్వాత, మీ బాడీ భవిష్యత్తులో అంటువ్యాధులను నివారించే సహాయక ప్రతిరోధకాలను ఉత్పత్తి చేస్తుంది. యాంటీ బాడీ స్థాయిని నిర్ణయించడం వల్ల మీరు ఎంత రోగనిరోధక శక్తి కలిగి ఉన్నారు.. మీరు ఎంత బలంగా, సురక్షితంగా ఉన్నారనేది తెలుస్తుంది. మరోవైపు మీరు ప్లాస్మా దానానికి అర్హులు అయితే అందుకు కూడా సహాయపడుతుంది. ప్లాస్మా దానానికి ఇది అనువైన సమయం కూడా. అయితే ఇదంతా రిపోర్టులు వచ్చాకే.

CBC టెస్టులు..
Complete Blood Caluclation(CBC) టెస్టుల వల్ల బాడీలోని వివిధ రకాల రక్తకణాలు(RBC, WBC, Platelets etc)కొలోచే ఒక ప్రాధమిక పరీక్ష. దీని వల్ల మీరు కోవిద్ సంక్రమణకు ఎంతవరకు స్పందించారో అనేది తెలుస్తుంది. కరోనా రికవరీ అనంతరం మీరు కచ్చితంగా చేయించుకోవాల్సిన టెస్టు ఇది. దీని వల్ల మీకు అదనపు చర్యలకు మార్గనిర్దేశం అవుతుంది.

గ్లూకోజ్, కొలెస్ట్రాల్ టెస్టులు..
వైరస్ వల్ల మీ బాడీలో రక్తం గడ్డ కట్టే అవకాశం ఉంటుంది. మీ రక్తంలో గ్లూకోజ్ మరియు రక్తపోటు స్థాయిలతో వారి ముఖ్యమైన పారామితులలో హెచ్చుతగ్గులు మరియు మంటలను నివేదిస్తారు. అదేవిధంగా టైప్-1, టైప్-2 డయాబెటిస్, కొలెస్ట్రాల్ , గుండె సంబంధిత వ్యాధులు కలిగిన వారు కూడా రికవరీ అనంతరం ఈ టెస్టులను చేయించుకోవాలి. ఎందుకంటే కరోనా రికవరీ తర్వాత గ్లూకోజ్ లెవెల్స్ మారొచ్చు.(సాధారణం కంటే తక్కువగా)

న్యూరో ఫంక్షన్ టెస్టులు..
చాలా మంది కరోనా నుండి కోలుకున్న రోగులు నాడీ మరియు మానసిక లక్షణాలపై మరియు రోజువారీ పనితీరుపై ప్రభావం ఉంటుంది. ఈ లక్షణాలు ఇప్పుడు ఆందోళన కలిగించే అంశంగా మారింది. ఎవరైతే కరోనా నుండి కోలుకున్నారో వారు కొన్ని వారాల తర్వాత మెదడు మరియు న్యూరోలాజికల్ ఫంక్షన్ టెస్టులు కచ్చితంగా చేయించుకోవాలని వైద్యనిపుణులు నొక్కి వక్కాణిస్తున్నారు. ఎందుకంటే లాంగ్ కోవిద్ వల్ల బ్రెయిన్లో ఆందోళన, వణుకు, మైకం, అలసట వంటి లక్షణాలను పరిశీలించాలి. 40 ఏళ్ల పైబడిన మహిళలకు ఈ టెస్టు అత్యంత ముఖ్యమైనది.

విటమిన్ డి పరీక్ష..
విటమిన్ డి మన బాడీలో రోగ నిరోధక పనితీరుకు తోడ్పడే ముఖ్యమైన పోషకం. రికవరీ సమయంలో విటమిన్ డి భర్తీ చాలా కీలకమని మరియు రికవరీని వేగవంతం చేయడంలో కూడా సహాయపడతాయని అధ్యయనాలు చెబుతున్నాయి. కాబట్టి కరోనా నుండి కోలుకున్న వారు కచ్చితంగా విటమిన్ డి టెస్టు చేయించుకోవడం ఉత్తమం. ఎందుకంటే మీ బాడీలో ఏదైనా లోపం ఉంటే దాన్ని సరిచేయడంలో ఇది సహాయపడుతుంది.

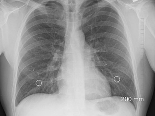
చెస్ట్ స్కాన్లు..
వ్యాధి తీవ్రతను గుర్తించడంలో హెచ్ఆర్ టి స్కాన్లు కచ్చితంగా బాగా పనిచేస్తాయని నిపుణులు చెబుతున్నారు. ఇది కోవిద్-19 వల్ల కలిగే ఊపిరితిత్తుల పనితీరు, సామర్థ్యాన్ని కూడా తెలియజేస్తుంది. కోవిద్ నుండి కోలుకున్న తర్వాత చాలా మంది ఊపిరితిత్తులు బాగా పని చేస్తున్నాయని వైద్యులు చెబుతున్నారు. అయితే కొందరికి మాత్రం వైరల్ ఇన్ఫెక్షన్ మరియు శ్వాసకోశ మద్దతుపై ఇవన్నీ ఆధారపడి ఉంటాయి. కాబట్టి ఈ స్కాన్ల వల్ల ఊపిరితిత్తుల పనితీరు పరీక్షలు చేయించుకోవడంలో సహాయపడుతుంది.

కార్డియాక్ స్క్రీనింగ్స్..
కోవిద్-19 సోకిన వారి బాడీలో కొన్నిసార్లు బాగా మంటగా అనిపిస్తుంది. దీని వల్ల గుండె కండరాలు, అరిథ్మియా బలహీనపడటం మరియు దెబ్బతినడం వంటివి జరుగుతాయి. కోవిద్ నుండి కోలుకున్న వారిలో ఇదొక సమస్య. ఇదివరకే గుండె సంబంధిత వ్యాధులు ఉన్నవారికి, దీని వల్ల ఈ సమస్య మరింత తీవ్రమయ్యే అవకాశం ఉంది. కాబట్టి మీరు సరైన ఇమేజింగ్ స్కాన్లు మరియు హార్ట్ ఫంక్షన్ పరీక్షలను పొందడం వల్ల ఫలితం ఉంటుంది. ప్రత్యేకించి మీరు తీవ్రమైన ఛాతీ నొప్పితో బాధపడుతుంటే, మీరు వెంటనే వైద్యులను సంప్రదించాలి.



Click it and Unblock the Notifications











